Cabinet d'Orthodontie des Drs CHOUKROUN et
OLLIER
Spécialistes qualifiés en Orthodontie à SAINT PIERRE (RÉUNION)
ACCUEIL
LE CABINET
L'EQUIPE
PLAN D'ACCÈS
URGENCES
VIDÉOS
FICHES CONSEILS
CONTACT
Spécialistes qualifiés en Orthodontie à SAINT PIERRE (RÉUNION)
Cabinet d'Orthodontie des Drs CHOUKROUN et
OLLIER
13 rue Bory Saint Vincent 97410 SAINT PIERRE
+262 2 62 25 90 72
ACCUEIL
LE CABINET
L'EQUIPE
PLAN D'ACCÈS
URGENCES
VIDÉOS
FICHES CONSEILS
CONTACT
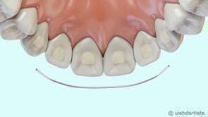
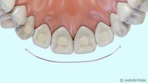
Fil de contention
Vidéos 3D
Partager
Twitter
Partager
Partager
Envoyer
Copier
Cabinet d'Orthodontie des Drs CHOUKROUN et OLLIER
13 rue Bory Saint Vincent
97410
SAINT PIERRE
+262 2 62 25 90 72
Politique de confidentialité et charte cookie
Mentions légales
Conditions Générales Utilisation
Charte déontologique
Ordre national
Annuaires chirurgiens dentistes
Lundi
8h30 - 12h30
,
14h - 18h
Mardi
8h30 - 12h30
,
14h - 18h
Mercredi
8h - 12h30
,
14h - 17h
Jeudi
8h30 - 12h30
,
14h - 18h
Vendredi
8h30 - 12h30
,
14h - 18h
Samedi
Fermé
Dimanche
Fermé
Création par
Connexion